Serviços realizados:
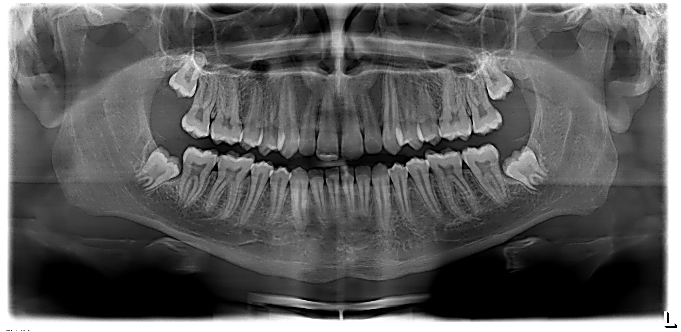
Raio X Panorâmico

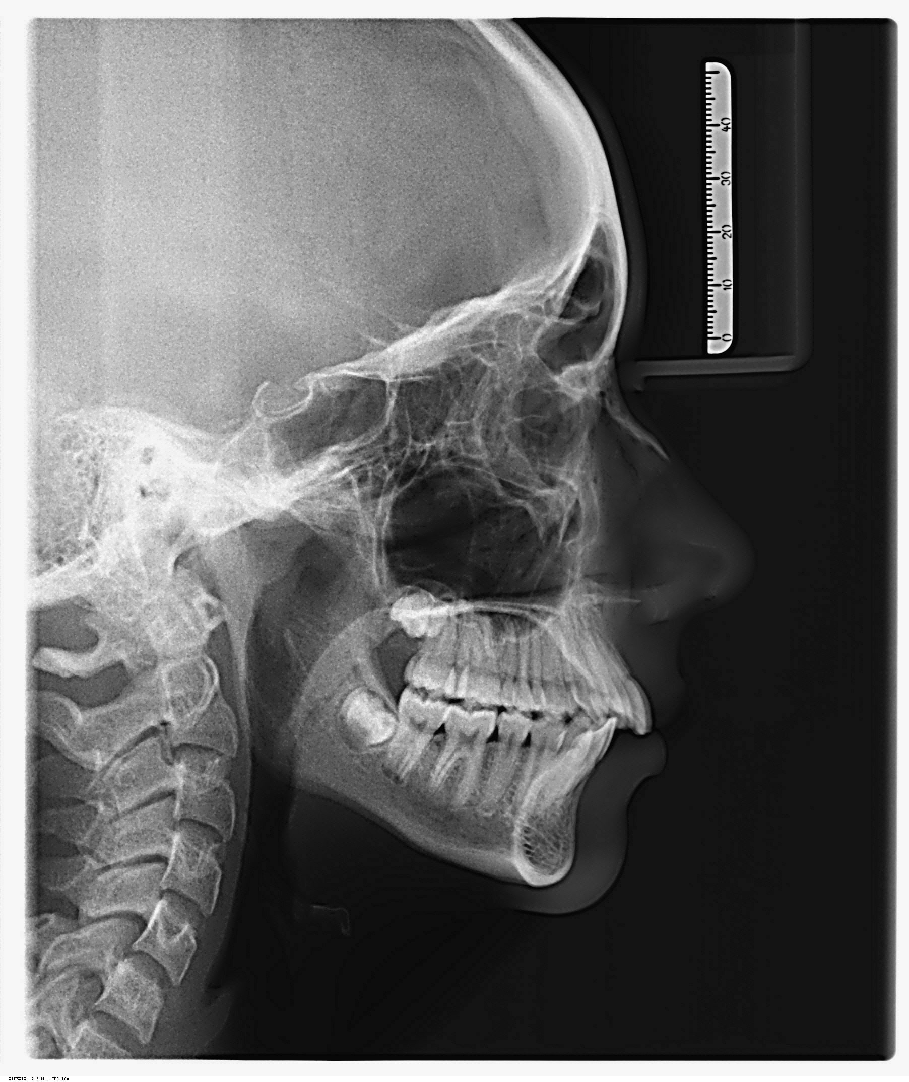
Telerradiografia

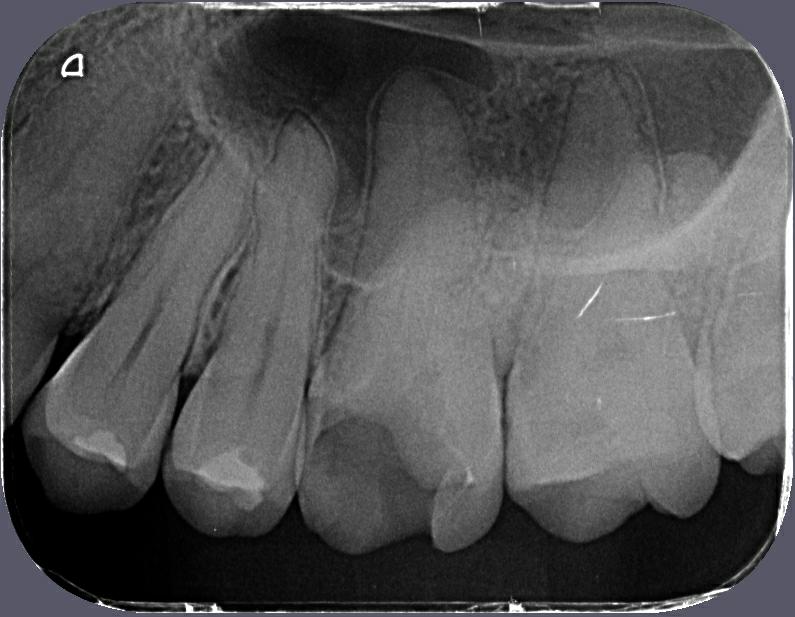
Periapicais

Interproximais
Levantamento Periapical

Radiografia de ATM (Boca Aberta e Fechada)

Radiografia de Mão e Punho (Idade Óssea)

- Radiografias Digitais com Laudos e Análises
- Modelos em Gesso
Fotografias Intra-Orais e Extra-Orais
Escaneamento digital com Itero
Documentações Ortodônticas
-Procedimentos totalmente digitais e com alta tecnologia
